モンテ矯正歯科クリニック、院長の森中です。
本日も、装置を撤去させていただいた患者様の治療報告をさせていただきます!
(患者様のご了承を得て掲載させていただいております。)
当患者さんは、反対咬合を主訴としてご相談に来られました。
- 治療に用いた主な装置:マルチブラケット
抜歯部位:なし
治療期間:3年半 - 費用:こちらから
- リスクと副作用:※治療上のリスクとして歯肉退縮、顎関節症、歯根吸収、カリエス、失活歯、クラック、根の露出、 骨隆起、劣成長、歯周病治療があります。 また、治療には個人差があります。あくまでご参考とお考え下さい。 詳細はお気軽にこちらからお問い合わせください。

最初は、マウスピース矯正で改善することをご希望されていましたが、
精密検査を行い資料を分析すると
ANBは -1度 、(→ANBって何?)
骨格性の反対咬合傾向があり、下顎が右側に偏位していることもあり
手術を併用した矯正治療が適応と診断させていただきました。
また、マウスピースでの治療としては適応症例ではないことをお伝えしました。


患者様は、マウスピースでできないことをよく理解してくださいました。
手術を用いない場合のメリット、デメリットをお話しした上で
よくよく検討していただいた結果、手術を併用しない、矯正治療だけでの改善を臨まれました。

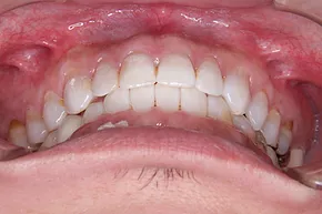
(写真向かって左が患者さんの口の中の右側になります)
治療前にはすでに左下にデンタルインプラントが2本、
右下の奥歯は根っこが感染していて、抜歯となっておりました。
矯正治療の精密検査時にはすでに右下の歯はありませんでした。
矯正治療を行なった後、デンタルインプラントを右下にも入れる計画をかかりつけ歯科医師と計画し、どこまで矯正治療で歯を動かすか、治療前のセットアップにて、方針を共有しました。

目標ゴールが決まったら、あとは突き進むのみです。
最初の治療計画が大変重要です。
装置撤去時の比較写真を掲載いたします。


右下のデンタルインプラントは、矯正治療途中に手術を行っていただきました。
現在はまだ仮歯の状態ですので、これから各歯、必要な部分の歯科治療に入っていきます。
ホワイトニングをさせて頂きましたので、治療前よりも明るくなりました。
毎日鏡でご自身の歯をうっとりと眺めていただきたいなあと思っております。
とても長い治療でしたが、最後まで大変協力的で、無事治療を終えることができました。
装置が外れても、まだまだ本当に矯正治療が終わりとは言えません。
これからが(私にとっては)勝負です!
後戻りしないか、噛み合わせがよりよく噛んで行くか、
今後定期チェックを重ねながら、2年後の資料もこちらに掲載いたします。
安定してこそ、治療計画が正しかったということになります。
長い治療お疲れ様でした!
最後までお読みいただきまして誠にありがとうございました。













